治療方法です
|
内容
|
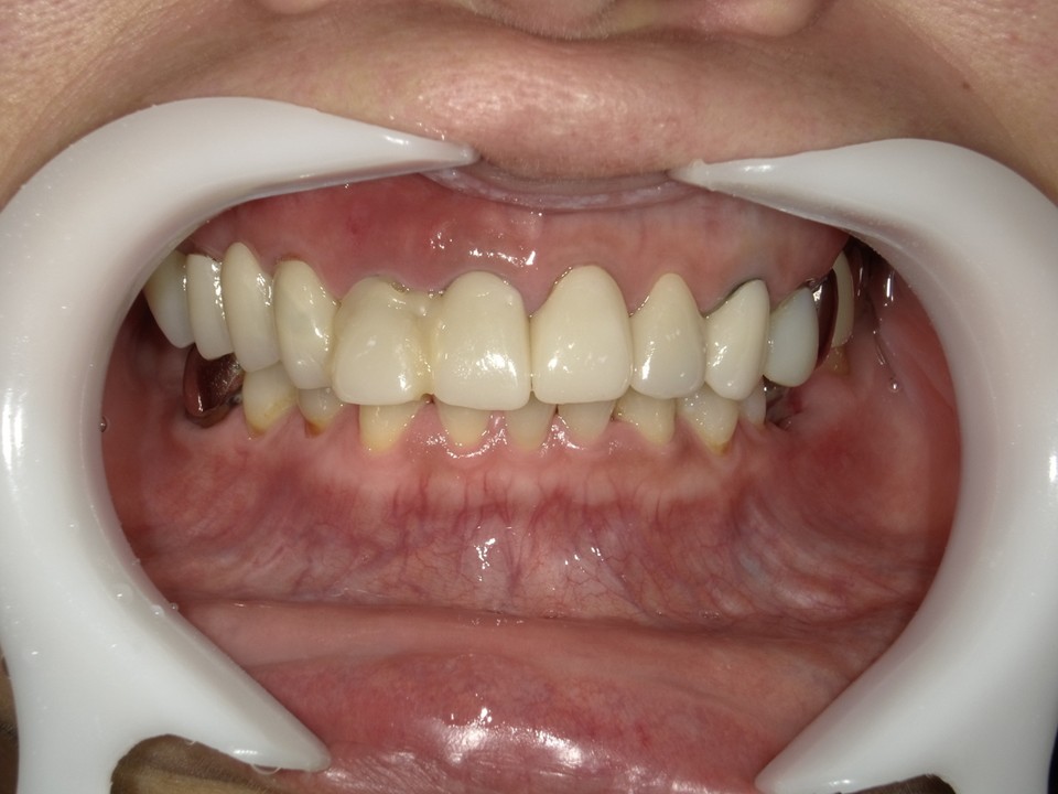
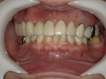
歯周病と虫歯により上顎のすべてを抜歯しないといけないケースで、ご本人希望で総入れ歯でなく、取り外しのないインプラント治療を希望されました。4本のインプラントを埋入して、当日に上顎すべてに仮歯を入れ、お食事ができる状態で手術を終え、最終的には上顎すべての歯をハイブリットセラミックで仕上げています。(破折等リスクを抑えるため内部にメタルフレームを入れています)
|
|---|---|
|
治療の回数・期間
|
12回・5か月
|
|
治療費
|
1.875,000円(税込)
※自由診療で費用は治療内容により異なります |
|
治療のまとめ
|
炎症と骨欠損がある難症例でしたが、大規模な骨造成を避け、特殊技術で治療期間を大幅に短縮し、約5ヶ月で噛める状態に回復しました。
|
|
副作用・リスク
|
手術後に、痛みや腫れ、出血、合併症などを引き起こす可能性があります。噛む感覚がご自身の歯と異なる場合があります。見た目がご自身の歯と異なる場合があります。メインテナンスを継続しないと、抜け落ちる可能性があります。
|
|
内容
|
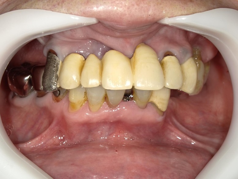
上顎右側の奥歯の歯が歯周病で動揺してお食事がしにくいということでインプラント治療を希望。インプラント手術日、右側の上顎臼歯部4本を抜歯して、右側の上顎臼歯部に2本のインプラントを埋入。
最終的には、3本の歯を2本のインプラントで支えるジルコニアのインプラントブリッジを入れさせていただきました。 |
|---|---|
|
治療の回数・期間
|
8回・約3ヶ月
|
|
治療費
|
792,000円(税込)
※自由診療で費用は治療内容により異なります |
|
治療のまとめ
|
炎症と骨欠損がある難症例でしたが、大規模な骨造成を避け、特殊技術で治療期間を大幅に短縮し、約3ヶ月で噛める状態に回復しました。
|
|
副作用・リスク
|
手術後に、痛みや腫れ、出血、合併症などを引き起こす可能性があります。噛む感覚がご自身の歯と異なる場合があります。見た目がご自身の歯と異なる場合があります。メインテナンスを継続しないと、抜け落ちる可能性があります。
|
|
内容
|
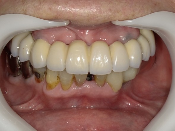
上顎右側2番の歯の歯根が破折し、炎症を起こして、骨が吸収して、歯を残すことができない状態であったため、インプラント治療を希望されました。インプラント治療当日に抜歯を行い、一本のインプラントを埋入後、見た目の回復とお食事ができるようにするために、手術当日に仮歯を入れています。最終的な歯は、ジルコニアで仕上げています。4回で治療を終了しております。
|
|---|---|
|
治療期間
|
4回・約2.5か月
|
|
治療費
|
385,000円(税込)
※自由診療で費用は治療内容により異なります |
|
術式
|
炎症と骨欠損がある難症例でしたが、大規模な骨造成を避け、特殊技術で治療期間を大幅に短縮し、2.5か月で噛める状態に回復しました。
|
|
副作用・リスク
|
手術後に、痛みや腫れ、出血、合併症などを引き起こす可能性があります。噛む感覚がご自身の歯と異なる場合があります。見た目がご自身の歯と異なる場合があります。メインテナンスを継続しないと、抜け落ちる可能性があります。
|